臨床検査サービス | 新着情報
- 2025/12/04
- CTCラボのインタビュー記事がバイオ・ラッド社HPに掲載されました
- 2025/8/22
- 動物iPS細胞・ES細胞 Gバンド染色体解析サービスのご案内
- 2025/7/31
- CTCラボニュース 新たな展開(2025年8月より)
- 2024/11/14
- 韓国 臨床統合医学癌学会 第15回秋季国際学術セミナーにおいて講演いたしました
動物iPS細胞・ES細胞Gバンド染色体解析サービス
動物iPS細胞・ES細胞 Gバンド染色体解析サービス
弊社では、哺乳類を中心とした多種動物のiPS細胞に対応したGバンド染色体解析サービスを提供しています。再生医療、疾患モデル、創薬、保全研究など、さまざまな分野で求められる細胞の染色体レベルでの品質管理をご支援します。
Gバンド解析は、細胞の数的・構造的な染色体異常の有無を明らかにし、細胞の安全性やリプログラミングの正確性を確認するために欠かせない技術です。特に動物iPS細胞は、種によって染色体構成が異なるため、経験豊富な専門技術者による解析が求められます。


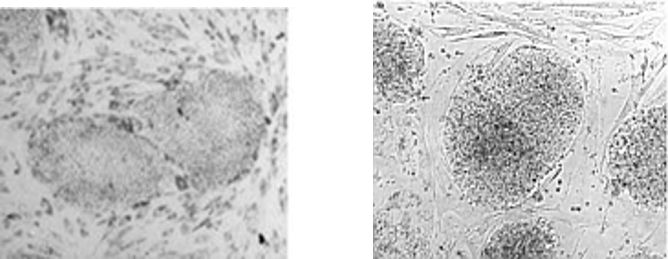
マウスiPS細胞 マウスES細胞
iPS細胞やES細胞の培養を短期的に実施し、細胞増殖曲線から一番良いタイミングで染色体をハーベストしています。
■サービスの特長
・多種動物に対応:マウス、ラット、カニクイザル、ネコ、イヌ、ウサギなど、研究目的に応じた柔軟な対応
・専門スタッフによる解析:経験豊富な技術者が判定
・視覚的な結果報告:写真付きPDFレポートとカリオタイピング画像をご提供
■応用事例
・再生医療研究:動物iPS細胞を分化誘導した細胞の染色体安定性評価やクローン選別
・動物医療の品質管理:動物の治療用細胞の腫瘍リスク確認
・絶滅危惧種保全:希少動物種の細胞保存・繁殖研究における染色体確認
・リプログラミング技術の評価:因子除去後の染色体異常検出による安全性チェック
■解析項目
| 動物種 | 細胞種類 | 解析方法 | 納期 | 価格(税抜) |
|---|---|---|---|---|
| マウス・ラット | iPS・ES細胞・その他細胞 | G-band解析 | 30日以内 | ¥80,000 |
| カニクイザル | iPS・ES細胞・その他細胞 | G-band解析 | 30日以内 | ¥80,000 |
| ブタ・ウシ・ネコ ・コウモリ |
iPS・ES細胞・その他細胞 | G-band解析 | 30日以内 | ¥80,000 |
| イヌ | iPS・ES細胞・その他細胞 | G-band解析 | 30日以内 | ¥100,000 |
| 鳥類 | iPS細胞・その他細胞 | G-band解析 | 30日以内 | ¥120,000 |
その他の動物種に関してはお問合せ下さい。
依頼数により納期はご相談させて下さい。
■解析内容
| G-band 解析 | 染色体数・構造異常の詳細解析 20細胞+染色体数のみの解析 30細胞、合計50細胞 |
| 報告内容 | G-bandカリオタイピング画像とメタフェース画像、最終核型を記載して報告します |
| 報告形式 | 染色体解析報告書とPDF化した解析報告書、報告書に使用した画像ファイルを入れたCD-Rを納品します |
■ご相談・お申し込み
染色体解析が初めての方も、試料送付から結果報告まで、丁寧にサポートいたします。目的に応じたご相談も可能です。
■価格・納期・提出条件
■お問い合わせ
(株)日本遺伝子研究所 研究支援サービス
TEL:022-388-9747 FAX:022-388-9740
お問い合わせフォームはこちら


